
Ricardo Ortega Ruiz trabajando en una investigación.
11 de febrero de 2025. En un esfuerzo por mejorar la detección temprana y el manejo clínico de los tumores óseos en pacientes pediátricos, un equipo de investigadores internacionales ha publicado un estudio titulado Análisis y evolución histórica de los tumores óseos pediátricos: importancia del diagnóstico precoz en la detección de neoplasias esqueléticas infantiles, en la revista Cancers. El profesor Ricardo Ortega Ruiz, docente del Grado en Criminología de la Universidad Isabel I, ha trabajado junto a Julia Iacobellis, de la Universidad de Foggia; Alessia Leggio y Cecilia Salzillo, de la Universidad de Bari ‘Aldo Moro’; Stefano Lucà y Andrea Marzullo, de la Universidad de Campania ‘Luigi Vanvitelli’.
Osteosarcoma y sarcoma de Ewing
El osteosarcoma y el sarcoma de Ewing son las dos neoplasias óseas malignas más prevalentes en la infancia y su diagnóstico temprano es esencial para mejorar el pronóstico de los pacientes. Según el estudio, "el osteosarcoma es el tumor óseo maligno más común en niños, con una frecuencia de 4,4 casos por millón de habitantes, seguido por el sarcoma de Ewing, cuya incidencia es de 2,5 a 3 casos por millón de habitantes". Estas neoplasias presentan una alta agresividad y, en muchos casos, se detectan cuando ya han desarrollado metástasis, lo que complica su curación.
Desde una perspectiva histológica, el estudio señala que "el osteosarcoma es un tumor osteogénico de alto grado caracterizado por la producción de matriz osteoide por células mesenquimales malignas, mientras que el sarcoma de Ewing es una neoplasia de células pequeñas y redondas, con translocaciones cromosómicas recurrentes", explica el profesor Ortega Ruiz.

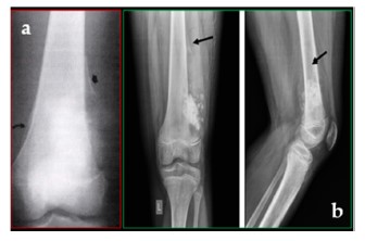
Radiografía de osteosarcoma.
Técnicas radiológicas y análisis histopatológicos
El diagnóstico de estas neoplasias requiere un enfoque integral que combine técnicas radiológicas avanzadas y análisis histopatológicos. En este sentido, la investigación destaca que "el estándar de oro para el diagnóstico incluye el examen de rayos X y la resonancia magnética, que brinda una evaluación precisa de la extensión del tumor al canal medular y los tejidos blandos circundantes". Además, la tomografía por emisión de positones (PET) con fluorodesoxiglucosa (FDG) permite evaluar la agresividad del tumor y detectar metástasis a distancia.
El estudio también ofrece una visión histórica del desarrollo y evolución de estos tumores, señalando que "el análisis paleopatológico de restos óseos humanos ha permitido identificar casos de osteosarcoma y sarcoma de Ewing en individuos de distintas épocas, proporcionando información clave sobre la progresión de estas enfermedades a lo largo del tiempo", explica el profesor Ortega.
Desde un enfoque criminológico, el profesor Ortega Ruiz resalta la importancia de estos hallazgos para la interpretación de lesiones óseas que causan estas enfermedades.
Diagnóstico temprano
Uno de los aspectos más innovadores del estudio es su énfasis en la importancia de un diagnóstico temprano. "Reducir el tiempo transcurrido entre la aparición de los síntomas y el diagnóstico del sarcoma de Ewing y del osteosarcoma es fundamental para mejorar la supervivencia de los pacientes", afirman los autores. Entre los síntomas más frecuentes de estas dolencias se encuentran el dolor óseo persistente, la inflamación localizada y, en algunos casos, la fiebre o la pérdida de peso.

Sarcoma de Ewing.
Desde el punto de vista terapéutico, el tratamiento de estas neoplasias suele incluir una combinación de quimioterapia, cirugía y, en algunos casos, radioterapia. "El osteosarcoma convencional requiere dos ciclos de quimioterapia neoadyuvante antes de la cirugía, y la respuesta terapéutica se evalúa mediante el grado de quimionecrosis en los exámenes histopatológicos", indican en el estudio. En el caso del sarcoma de Ewing, la quimioterapia es fundamental, ya que "más del 90% de los pacientes presentan micrometástasis al momento del diagnóstico", apuntalan los investigadores.
El profesor Ricardo Ortega Ruiz subraya la relevancia del enfoque interdisciplinario en la investigación de estas neoplasias, afirmando que "la combinación de análisis clínico, radiológico e histopatológico, junto con un conocimiento profundo de la historia natural de estos tumores, es esencial para su correcta identificación y manejo de la enfermedad”.
Este avance en el conocimiento de los tumores óseos pediátricos representa un paso significativo hacia la mejora de la supervivencia y calidad de vida de los pacientes afectados, y reafirma la importancia de la investigación científica en la lucha contra el cáncer infantil.
La cirugía en el osteosarcoma
El tratamiento quirúrgico del osteosarcoma implica la escisión del tumor y la reconstrucción de la extremidad. La clasificación de Enneking establece los márgenes quirúrgicos en cuatro tipos: intralesionales, marginales, amplios y radicales. Debido a que los márgenes intralesionales y marginales se asocian con altas tasas de recurrencia local, se prefieren los márgenes amplios, que permiten el control de la enfermedad en hasta el 95% de los casos.
"La elección del margen quirúrgico depende de múltiples factores, como la ubicación anatómica del tumor, su patrón de crecimiento y la proximidad a estructuras críticas", explican los autores del estudio. En algunos casos donde hay compromiso neurovascular o cuando la cirugía conservadora limitaría la funcionalidad, la amputación sigue siendo la opción más viable. Además, la reconstrucción quirúrgica debe adaptarse a la edad del paciente y su potencial de crecimiento, lo que representa un desafío en niños en desarrollo.
Inmunoterapia y terapia viral oncolítica
A pesar de los avances quirúrgicos y quimioterapéuticos, los casos recurrentes o metastásicos siguen presentando un pronóstico reservado. Actualmente, existen pocas opciones terapéuticas novedosas para estos pacientes, aunque los avances en inmunoterapia han abierto nuevas posibilidades. "Las inmunoterapias, incluidos los inhibidores de puntos de control y las terapias con células CAR-T, han demostrado cierto porcentaje de éxito en el tratamiento de tumores hematológicos y, en menor medida, de tumores sólidos como el osteosarcoma", señalan los autores del estudio.

Osteosarcoma en joven de 13 años.
Sin embargo, estos enfoques todavía presentan múltiples dificultades. "La baja especificidad del antígeno, la corta persistencia de las células CAR-T y el microambiente tumoral hostil limitan su efectividad", afirma el equipo de investigación. Además, reducir la toxicidad de las vacunas contra el cáncer y prevenir efectos adversos como la enfermedad hiperprogresiva sigue siendo una prioridad en la investigación actual.
Otro tratamiento emergente es la terapia viral oncolítica (OVT), que utiliza virus modificados genéticamente para atacar selectivamente las células cancerosas y desencadenar una respuesta inmune contra el tumor residual. "Los virus oncolíticos ofrecen un enfoque prometedor, ya que no solo destruyen células tumorales directamente, sino que también estimulan el sistema inmunológico para combatir la enfermedad de manera más efectiva", explican en la publicación de la investigación.
La Inteligencia Artificial en el diagnóstico y tratamiento
Los avances tecnológicos han permitido una mejora significativa en la precisión del diagnóstico del osteosarcoma. Algoritmos de aprendizaje profundo y segmentación celular están facilitando el análisis de imágenes médicas, optimizando la detección temprana y el seguimiento de los tumores óseos. "Las imágenes de células de osteosarcoma pueden segmentarse utilizando redes neuronales convolucionales y técnicas avanzadas de procesamiento de imágenes médicas, mejorando la comprensión de su estructura y potencial metastásico", señala el profesor Ortega Ruiz.
Una de las innovaciones más destacadas en este campo es el uso del modelo "Twin Swin Transformer", que emplea un enfoque de fusión de características de múltiples escalas para mejorar la precisión y eficiencia en la segmentación de imágenes de osteosarcoma. "Esta tecnología no solo mejora la detección del tumor, sino que también contribuye a una toma de decisiones más precisa en el tratamiento clínico", afirman los investigadores.
Medicina personalizada y terapias combinadas
El futuro del tratamiento del osteosarcoma se orienta hacia un enfoque multidisciplinario que combina cirugía, inmunoterapia, terapias dirigidas y tecnología de inteligencia artificial. "El desarrollo de tratamientos personalizados basados en biomarcadores específicos permitirá una mejor selección de terapias y reducirá la toxicidad en los pacientes pediátricos", destacan los expertos.
Además, la combinación de diferentes enfoques terapéuticos, como la inmunoterapia con la terapia viral oncolítica, podría ofrecer mejores resultados en términos de supervivencia y reducción de recurrencias. "La clave del éxito en el tratamiento del osteosarcoma será la capacidad de adaptar las terapias a las características moleculares y biológicas de cada tumor", concluye el estudio.

Lesión femoral de osteosarcoma.
En definitiva, el avance continuo en la investigación oncológica pediátrica está transformando el panorama del tratamiento del osteosarcoma. La colaboración entre oncólogos, cirujanos, radiólogos, patólogos y expertos en inteligencia artificial es esencial para desarrollar estrategias más eficaces y mejorar la calidad de vida de los pacientes jóvenes afectados por esta enfermedad.
Día del Cáncer Infantil
En España, cada año se detectan alrededor de 1.500 casos de cáncer en niños y adolescentes, de los cuales aproximadamente 1.100 afectan a menores de entre 0 y 14 años, mientras que unos 400 corresponden a jóvenes mayores de 14 años, según datos de la Federación Española de Familias de Cáncer Infantil.
A pesar de su impacto, el cáncer infantil sigue siendo una enfermedad poco frecuente, representando solo el 3 % de todos los diagnósticos oncológicos en España. A nivel global, la Organización Mundial de la Salud (OMS) estima que cada año cerca de 400.000 niños y adolescentes menores de 19 años son diagnosticados con algún tipo de cáncer.
Los cánceres pediátricos más comunes pueden agruparse en tres grandes categorías: enfermedades hematológicas, como leucemias y linfomas; tumores del sistema nervioso central; y tumores sólidos, que incluyen distintos tipos de sarcomas y carcinomas. Recordando que cada 15 de febrero se celebra el Día Del Cáncer Infantil, cabe señalar que en los países de altos ingresos, el 80% de los niños afectados de cáncer se curan, mientras que en los demás, la curación ronda el 30%.